先天性心疾患 肺血管治療再建プログラム
先天性心疾患 肺血管治療再建プログラムとは
この肺血管再建治療プログラムは、心臓と肺をつなぐ肺血管の構造異常すべてと血管異常に関連した気管・気管支異常に対して専門家集団による治療を提供する静岡県立こども病院の総力を結集したプロジェクトです。プロジェクトの目的は、お子様の肺血管に関わる問題を解明し、その問題に応じてひとりひとり個別に治療を行い、健やかな成長に貢献する事です。
対象となるのは、肺に関連した血管全てです。血管は心臓というポンプにつながるホースと考えてください。心臓は、生きていくために最も必要な酸素を全身に送り出すポンプです。酸素は血液に乗った状態でポンプに押し出され、血管を通って全身に運ばれます。これに対して、我々の体の中でこの大切な酸素を血液に乗せる場所は心臓の左右にある肺だけです。肺は左右一対の臓器ですが、全身に流れる血液と同じだけの血液が流れています。この肺と心臓をつなぐ血管すべてが治療の対象となります。具体的には、心臓から出る肺動脈、左右に分かれた末梢肺動脈、肺の中にある毛細血管、そして肺から心臓に戻る肺静脈です。血管は複雑な形、枝分かれをしており、少しの形の違いが大きな症状の差となって現れます。
症状を改善するためには正確な診断に基づいて、様々な治療方法の中から患者の状態に適した治療方法を選択し対応します。
症状を改善するためには正確な診断に基づいて、様々な治療方法の中から患者の状態に適した治療方法を選択し対応します。
当院のこのプログラムでは、エコーとCTそしてMRIを駆使し、術前術後の状態を正確に評価する小児循環器科医、診断を行う心臓カテーテル検査のみならず肺血管へのカテーテル治療にも精通した小児循環器科医、複雑心疾患と肺血管への外科治療を行う小児心臓外科医、更に治療後の呼吸循環管理を行う集中治療科医が、各分野の専門知識を集結し総合的な判断の下に治療を行います。大動脈や肺動脈の走行異常に関連して、気管や気管支が狭窄や軟化を合併している場合は、気道系の修復に精通した小児外科医とも相談して共同で治療にあたります。
もし、あなたのお子さん、あるいは先生方が治療されている患者さんが以下の疾患、症状でお悩みの場合は、私たちがお役に立てるかもしれません。いつでもご連絡ください。セカンドオピニオン外来も行っています。
対象とする疾患
- 肺動脈弁逆流 ファロー四徴等
- 肺動脈閉鎖兼心室中隔欠損 主要体肺動脈側副血行路(MAPCAマプカと呼びます)(±気管気管支軟化症)
- 先天性または各種手術後の肺動脈狭窄ならびに左右不揃いに成長した肺動脈
- 孤立性動脈管起始肺動脈
- PA sling(±気管気管支狭窄)
- 肺動脈狭窄、MAPCAを合併する単心室 無脾症候群
- ウィリアムズ(Williams)症候群および非Williamsエラスチン動脈症に伴う肺動脈狭窄
- アラジール(Alagille)症候群、ヌーナン(Noonan)症候群の肺動脈異常
- 先天性ないしは手術後による肺静脈狭窄
- 肺動静脈瘻
- 肺高血圧
治療方法
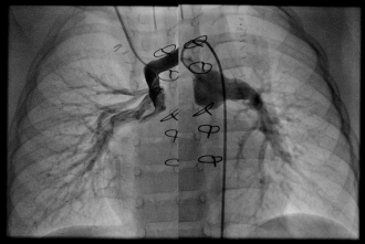
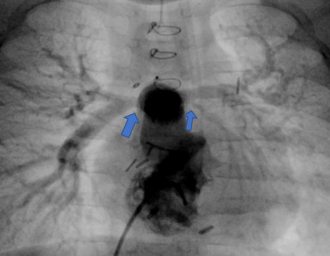
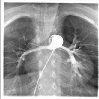
経皮的肺動脈弁置換術 ― Trans Pulmonary Valve Implantation(TPVI)
循環器科のページ 経皮的肺動脈弁置換術(TPVI)についてに詳細に紹介しています。
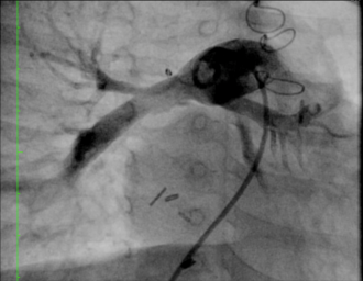
肺動脈形成
- 中心肺動脈形成
不要な部位または狭窄している部位を切除し、直接つなぎ合わせます。

Ann Thorac Surg 2014;98:919–26
- 肺動脈パッチ形成
狭窄した肺動脈を直接縫うことなくパッチにより血管形成を行います。

フォンタン手術後

肺動脈形成に関しては、保険適用による治療となります。通常の再手術に伴うリスクと同等のリスクで治療が可能です。ただし肺動脈形成後は、手術前の肺と肺血管の状態により必ずしも写真に示す通りの良好な結果が得られない場合もあります。その場合はカテーテル治療によりバルーンによる血管形成を更に追加する場合もあります。
IPAS…低形成肺動脈に対する手術

グレン手術を行う前後で左右肺動脈の太さに差が生じると次のステージのフォンタン手術に影響が出ることがあります。当院で開発したグレン吻合とシャント手術を併用する手術術式IPAS(intra-pulmonary artery septation)を用いて細くなった肺動脈へ多くの血流を流すことで太くした後に次のステージを目指します。
更にバルーンによる血管形成やステント留置を行い適正な血管の形態を維持します。
この手術の後は、カテーテル検査のみでは肺の状態を正確に把握することが難しいため、MRIを用いて肺血管の状態を詳しく評価し、次のステージへの可能性を探ります。
更にバルーンによる血管形成やステント留置を行い適正な血管の形態を維持します。
この手術の後は、カテーテル検査のみでは肺の状態を正確に把握することが難しいため、MRIを用いて肺血管の状態を詳しく評価し、次のステージへの可能性を探ります。

両側BTシャント術後(他院より紹介時の状態)

肺動脈形成後

IPAS後

Fontan手術後
IPASに関しては、肺動脈形成の範疇の手術となり、保険適用です。ただしIPASは低形成肺動脈がどのようにして発症しているかの条件により、有効な場合とそうでない場合があり、個々の症例により検討し適応を決める必要があります。中には低形成肺動脈の成長が得られず、次のステージに進めない症例もあります。特に肺静脈狭窄が原因となる低形成肺動脈に関しては、有効でない症例もあります。
主要肺動脈側副血行路(MAPCA)に対する治療
- unifocalization 肺動脈統合術
主要体肺動脈側副血行路(Major Aorto-Pulmonary Collateral Artery: MAPCA)に関しては、積極的に治療に取り組んでいます。
MAPCAは、生後MAPCA周囲の条件により太くなったり、細くなったりします。基本術式として肺動脈統合術(unifocalization)を積極的に行っています。
心室中隔欠損を伴う肺動脈閉鎖でかつMAPCAを伴う場合は、MAPCAや肺の条件が大きく変化する前、生後6ヵ月5kgを目安にunifocalizationを行い、条件が良ければ心室中隔欠損を同時に閉鎖し、弁付き人工血管で右室と肺動脈を繋ぎます。
また手術後更に狭窄を来す場合は、カテーテル治療で肺動脈を形成し、良好な肺動脈の状態を保ちます。
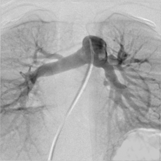
MAPCA症例 4本のMAPCAが有する症例


肺動脈統合術(unifocalizaton)術後 矢印の部分が狭窄病変

術後5ヵ月で肺動脈の狭窄に対してカテーテル治療を行った後の血管造影
MAPCAに対する肺動脈統合術、また一期的心内修復術はいずれも保険適用による治療です。可能な限り一期的心内修復術を目指しますが、MAPCAの走行は症例ごとに千差万別です。検査結果と経験からそれぞれの症例に適した術式を行います。
この術式は、細かな血管通しの吻合箇所が多く、人工心肺時間が6時間を超える長時間となるため、通常の開心術より出血のリスクが高く、細心の注意が必要となります。また気管、気管支周囲ならびに反回神経、迷走神経の周辺に対して剥離操作を行うため、通常の開心術より術後の呼吸管理ならびにお腹を使った栄養管理に細心の注意が必要となります。
この術式は、細かな血管通しの吻合箇所が多く、人工心肺時間が6時間を超える長時間となるため、通常の開心術より出血のリスクが高く、細心の注意が必要となります。また気管、気管支周囲ならびに反回神経、迷走神経の周辺に対して剥離操作を行うため、通常の開心術より術後の呼吸管理ならびにお腹を使った栄養管理に細心の注意が必要となります。
2017年より積極的にこの方針での治療を開始し、現在まで23名の子どもたちにこの術式を行い、19例(83%)で心室中隔欠損閉鎖が可能となりました。
末梢肺動脈に対する治療
Alagille症候群やWilliams症候群などの心臓から肺までの全長にわたり長く高度に狭窄した肺動脈に関しては、末梢肺動脈までパッチを用いて血管形成を行います。


術前

術後
肺動脈形成は保険適用の治療内容です。また状況によりホモグラフトと呼ばれる亡くなった方の肺動脈組織を凍結保存したものを使用し、血管形成を行いますが、これも保険適用となっています。
リスクに関しては、通常の開心術と大きく変わりません。
リスクに関しては、通常の開心術と大きく変わりません。

