側弯症とは
側弯症とは何でしょうか?
背骨は、たくさんの背骨(脊椎)が積み合わさってできています。それぞれ首の部分 を頸椎(7個)、胸の部分を胸椎(12個)、腰の部分を腰椎(5個)、お尻の部分を仙骨、尾骨といいます。
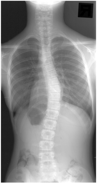
背骨を正面から見ると、背骨はまっすぐになっていますが、側弯症とは背骨がねじれを伴って横に曲がってしまう疾患です。
背骨を正面から見ると、背骨はまっすぐになっていますが、側弯症とは背骨がねじれを伴って横に曲がってしまう疾患です。

原因は何ですか?
側弯症は、
「1機能性側弯症」は、背骨の曲がり方の程度は軽く、原因を取り除くことによって側弯は消失します。
一般的に、「側弯症」というと2の「構築性側弯症」を指します。「構築性側弯症」は、 原因が特定されていない「特発性側弯症」と、他の疾患に伴う側弯症(先まれつきの側弯症、神経や筋肉の病気に伴う側弯症)に大別され、「側弯症」の80%は、「特発性側弯症」に分類されます(中でも「思春期側弯症」の事が多い)。
最近では、遺伝子に関する研究が盛んに進められてきていますが、未だ治療に直結するような原因は特定されていません。
- 姿勢や左右の脚の⻑さの違い、腰痛などの原因で生じる「機能性側弯症」と、
- それ以外の「構築性側弯症」に大別されます。
「1機能性側弯症」は、背骨の曲がり方の程度は軽く、原因を取り除くことによって側弯は消失します。
一般的に、「側弯症」というと2の「構築性側弯症」を指します。「構築性側弯症」は、 原因が特定されていない「特発性側弯症」と、他の疾患に伴う側弯症(先まれつきの側弯症、神経や筋肉の病気に伴う側弯症)に大別され、「側弯症」の80%は、「特発性側弯症」に分類されます(中でも「思春期側弯症」の事が多い)。
最近では、遺伝子に関する研究が盛んに進められてきていますが、未だ治療に直結するような原因は特定されていません。

「側弯症」の人はどれ位いるのですか?
100人いれば2〜3人は側弯症の方がいるといわれています。しかし、実際に治療の介入が必要な方は限られています。成人した後に職場健診などでレントゲンを撮影し、 偶然指摘されるという事も少なくありません。
診断はどのようになされるのですか?
側弯症の診断は、医療機関を受診し、レントゲン検査を行ってもらう必要があります。
医療機関を受診した方がよいかどうかを判断するのが、健診です(「スクリーニング検査」といいます)。 学校検診では、まず後ろ向きに気をつけの姿勢でまっすぐ立ってもらい、肩の高さ、肩甲骨(背中の出っ張りのある骨)、ウエストラインに左右差があるかどうか確認します(立位検査といいます)。
その後、まっすぐ前かがみになってもらい、背中の高さが左右対称となっているか確認します(前屈検査といいます)。左右、非対称となってい る場合には「側弯症の疑い」として、お医者さん(整形外科)への受診を指示されます。
医療機関を受診した方がよいかどうかを判断するのが、健診です(「スクリーニング検査」といいます)。 学校検診では、まず後ろ向きに気をつけの姿勢でまっすぐ立ってもらい、肩の高さ、肩甲骨(背中の出っ張りのある骨)、ウエストラインに左右差があるかどうか確認します(立位検査といいます)。
その後、まっすぐ前かがみになってもらい、背中の高さが左右対称となっているか確認します(前屈検査といいます)。左右、非対称となってい る場合には「側弯症の疑い」として、お医者さん(整形外科)への受診を指示されます。

学校検診でチェックするボイント
- 肩の高さの違い
- 肩甲骨の高さの違い
- ウエストラインの左右差
- 前届時の肋骨隆起の左右差

