病理検査
ページ内目次
主な業務内容
病理医と臨床検査技師で業務を行い、病気の診断という形で臨床医とともに診療に携わっています。
病理組織診断、細胞診断、病理解剖を行っています。患者さんから採取された組織や液状検体を材料として標本を作製し、その標本を病理医や細胞検査士が観察することで病気の診断をしています。特殊染色、免疫組織化学染色といった様々な染色による標的物質の染め分け、電子顕微鏡検査による組織や細胞の微細構造の観察をすることで、より精度の高い診断に繋がるように日々務めています。
ご自身の、またはお子さんの病理組織をご覧になりたい方は、まずは担当の主治医にご相談ください。
病理組織診断、細胞診断、病理解剖を行っています。患者さんから採取された組織や液状検体を材料として標本を作製し、その標本を病理医や細胞検査士が観察することで病気の診断をしています。特殊染色、免疫組織化学染色といった様々な染色による標的物質の染め分け、電子顕微鏡検査による組織や細胞の微細構造の観察をすることで、より精度の高い診断に繋がるように日々務めています。
ご自身の、またはお子さんの病理組織をご覧になりたい方は、まずは担当の主治医にご相談ください。
小児がんの病理診断支援
当院は、国が小児がん患者と家族が安心して医療や支援が受けられる環境を整備する目的で2013年2月に全国15施設を「小児がん拠点病院」として指定された施設の一つです。
実施検査項目
病理組織診断
外科手術による切除組織や、骨髄・腎など針で採取した小さな組織から標本を作製し、顕微鏡で観察・診断します。


HE染色、特殊染色
病理組織診断の基本染色であるHE染色、標的物質に応じた様々な特殊染色を行います。

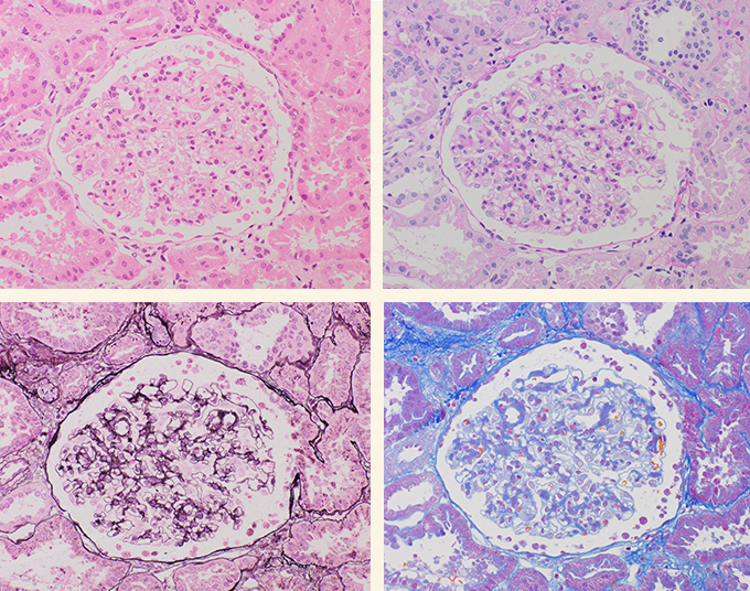
腎生検の染色
左上:HE染色、右上:PAS染色
左下:PAM染色、右下:マッソントリクローム染色

ASDギムザ染色
→顆粒球を赤色に染める

アセチルコリンエステラーゼ染色
→神経線維、神経節細胞を茶色に染める
免疫組織化学染色

in situ hybridization

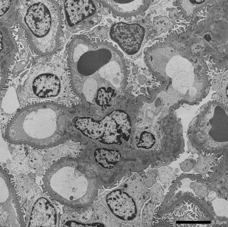
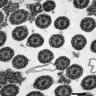
電子顕微鏡検査


腎糸球体
→糸球体基底膜の構造、沈着物の有無など観察する

鼻粘膜線毛細胞の線毛の輪切り
術中迅速組織診断
手術中に迅速に組織を検索し、追加切除の必要性など手術方針の決定に必要な情報を提供します。

細胞診断
胸水や腹水、尿、髄液などから標本を作製し、細胞を判定します。
コイロサイトーシス(パパニコロウ染色)


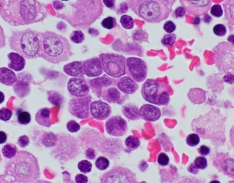
Neuroblastoma

メイ・ギムザ染色

パパニコロウ染色

セルブロックHE染色

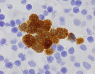
セルブロック免疫染色(PGP9.5)
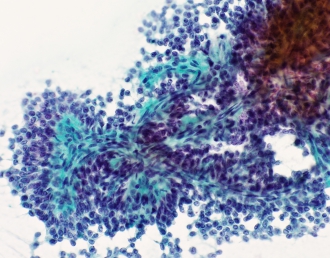
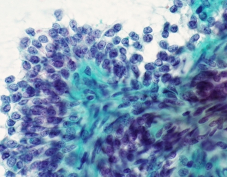
Solid Pseudopapillary Tumor(パパニコロウ染色)


病理解剖
病気で亡くなられた患者さんを解剖し、死因などを検索します。
カンファレンス
組織診断、病理解剖など、診断した症例について、臨床の医師と検討します。
組織診断については今度の治療方針について、病理解剖については診断や治療を検討し、問題点、反省点などを検討します。
組織診断については今度の治療方針について、病理解剖については診断や治療を検討し、問題点、反省点などを検討します。

