腹部超音波検査
ページ内目次
腹部・腹部+肝エラストグラフィー
検査前の注意事項
カロリーのある飲食をすると胆嚢、膵臓などが観察しにくくなり、肝エラストグラフィーの測定値が高めになってしまうため、午前中に検査する場合は朝食を抜いて下さい。水やお茶は飲んでも大丈夫です。
午後検査をする場合は4時間以上カロリーのある飲食をしないで下さい。
尿がたまっていないと膀胱や前立腺が観察しにくくなるため、少なくとも検査の2時間位前から排尿しないで下さい。
午後検査をする場合は4時間以上カロリーのある飲食をしないで下さい。
尿がたまっていないと膀胱や前立腺が観察しにくくなるため、少なくとも検査の2時間位前から排尿しないで下さい。
検査内容
肝臓、脾臓、胆嚢、膵臓、腎臓、膀胱、前立腺、腸管など腹部全体の臓器の病変の有無や性状を観察します。
肝エラストグラフィーは肝臓の線維化などの程度を測定し、数値で表します。
洋服は胸の下から腰骨付近まで広くめくっていただきます。
検査時は声かけに合わせて息を吸ったり吐いたり、また息止めをしていただきます。
肝エラストグラフィーは肝臓の線維化などの程度を測定し、数値で表します。
洋服は胸の下から腰骨付近まで広くめくっていただきます。
検査時は声かけに合わせて息を吸ったり吐いたり、また息止めをしていただきます。


胆嚢結石

正常肝

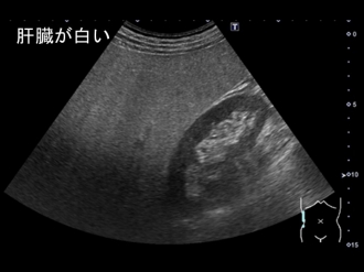
脂肪肝
膵精密
検査前の注意事項
午後からの予約検査です。朝9時以降はカロリーのある飲食はしないでください。水やお茶は飲んでも大丈夫です。
検査直前に検査中に必要となる温かい飲み物を院内のコンビニで購入していただきます。
検査直前に検査中に必要となる温かい飲み物を院内のコンビニで購入していただきます。
検査内容
膵臓の病変の有無や性状を30分位かけて詳細に観察します。
服は胸の下からおへそ付近までめくっていただきます。
ベッド上に半座位で寝ていただき、必要に応じて左右に向きを変えていただきます。
検査の途中で購入していただいた飲み物をストローで飲んでいただき、再度検査をします。
検査時は声かけに合わせて息を吸ったり吐いたり、また息止めをしていただきます。
服は胸の下からおへそ付近までめくっていただきます。
ベッド上に半座位で寝ていただき、必要に応じて左右に向きを変えていただきます。
検査の途中で購入していただいた飲み物をストローで飲んでいただき、再度検査をします。
検査時は声かけに合わせて息を吸ったり吐いたり、また息止めをしていただきます。