エコーセンター
超音波検査ってなに?
超音波検査は、耳では聞こえない高い周波数の音である超音波を用いて体内の臓器の形や動き、血液の流れをリアルタイムで観察する検査です。
放射線を使用しないため、被曝がなく身体への負担が少なく、赤ちゃんから大人まで安心して検査を受けていただけます。
当院エコーセンターでは心臓超音波検査と腹部・脳脊髄及び関節超音波検査を行っています。
放射線を使用しないため、被曝がなく身体への負担が少なく、赤ちゃんから大人まで安心して検査を受けていただけます。
当院エコーセンターでは心臓超音波検査と腹部・脳脊髄及び関節超音波検査を行っています。
どうやって検査をするの?
- 検査中はベッドに寝ていただき、エコーゼリーを肌につけて検査を行います。
- 検査部位をしっかりと観察するため、お洋服を捲ったり、場合によっては脱いでいただく必要があります。
※特に、心臓超音波検査では胸部に超音波を当てて心臓の動きを観察するため、検査中に上半身のお洋服を脱いでいただく必要があります。検査室内では着替えの検査着を用意し、十分にプライバシーに配慮し検査を行っております。 - 検査室へは保護者の方も一緒に入っていただいて大丈夫です。
- 検査中は楽しく検査ができるように動画を用意し、なるべくリラックスして検査を受けていただけるように努めています。

検査室スタッフ

検査技師とエコーセンター長
当院では心臓超音波検査は循環器科医師または臨床検査技師が、腹部超音波検査は基本的に女性検査技師が対応していますが、小児外科の男性医師が行う場合もあります。
心臓超音波検査では、循環器科スタッフが一緒に行います。詳しくは循環器科のページをご覧下さい。
心臓超音波検査では、循環器科スタッフが一緒に行います。詳しくは循環器科のページをご覧下さい。
エコーセンターでの年間統計
| 心臓超音波検査 | 4973件 |
|---|
| 腹部超音波検査 | 腹部 | 1357件 |
|---|---|---|
| 腹部超音波検査 | 末梢血管 | 43件 |
| 腹部超音波検査 | 体表 | 3465件 |
| 腹部超音波検査 | 経頭蓋 | 232件 |
| 腹部超音波検査 | 脊髄 | 124件 |
(当院エコーセンターでの2024年度の超音波検査件数)
心臓超音波検査(心エコー)
心臓超音波検査は超音波を用いて心臓の形や動き、血液の流れをリアルタイムに観察する検査です。
当院では、先天性心疾患をはじめとする小児の心臓病の診断・治療において、心エコー検査を重要なツールとして活用しています。心臓の構造や弁の動き、心房、心室の大きさ、血流の状態などを詳しく調べることで、正確な診断と適切な治療方針の決定につなげています。
当院では、先天性心疾患をはじめとする小児の心臓病の診断・治療において、心エコー検査を重要なツールとして活用しています。心臓の構造や弁の動き、心房、心室の大きさ、血流の状態などを詳しく調べることで、正確な診断と適切な治療方針の決定につなげています。
検査の特徴
小児専門の検査体制
小児循環器専門医と経験豊富な医師、臨床検査技師が連携し、年齢や発達段階に応じた丁寧な検査を行います。
当院は研修施設でもあるので、研修医と上級医のペアで検査を行うこともあります。
当院は研修施設でもあるので、研修医と上級医のペアで検査を行うこともあります。
検査時の服装
心臓超音波検査では胸部に超音波を当てて心臓の動きを観察するため、検査中に上半身のお洋服を脱いでいただく必要があります。
検査室内では着替えの検査着を用意し、十分にプライバシーに配慮し検査を行っております。
検査室内では着替えの検査着を用意し、十分にプライバシーに配慮し検査を行っております。
検査受付時
心臓超音波検査では、受付で順番表(呼び出しベル)をお渡ししています。
所要時間
検査時間はおおよそ30~40分程度です(検査時間は疾患により異なり、詳細な評価を有する場合は、1時間程度架かることもあります)。
眠剤使用の検査について
当院では、安全かつ正確な診断を行うために、必要に応じて鎮静剤(眠剤)を使用する場合があります。
鎮静剤の使用には哺乳・食事の制限があります。外来看護師の説明を受けて下さい。
鎮静のタイミング応じて、検査の順番が前後することがあります。ご理解とご協力のほど、よろしくお願い申し上げます。
鎮静剤の使用には哺乳・食事の制限があります。外来看護師の説明を受けて下さい。
鎮静のタイミング応じて、検査の順番が前後することがあります。ご理解とご協力のほど、よろしくお願い申し上げます。
心房中隔欠損とは
心房中隔に先天的に欠損がある状態のこと。
欠損孔を通して主に左房から右房への短絡があり、右心系の負荷から種々の徴候が見られます。
心房中隔に先天的に欠損がある状態のこと。
欠損孔を通して主に左房から右房への短絡があり、右心系の負荷から種々の徴候が見られます。


心房中隔欠損とは
心房中隔に先天的に欠損がある状態のこと。
欠損孔を通して主に左房から右房への短絡があり、右心系の負荷から種々の徴候が見られます。
心房中隔に先天的に欠損がある状態のこと。
欠損孔を通して主に左房から右房への短絡があり、右心系の負荷から種々の徴候が見られます。
動脈管開存(PDA)とは
胎生期の動脈管が閉鎖せず大動脈肺動脈間の血行路として残存している状態のこと。
短絡量が多いと心不全症状を引き起こします。
胎生期の動脈管が閉鎖せず大動脈肺動脈間の血行路として残存している状態のこと。
短絡量が多いと心不全症状を引き起こします。

心室中隔欠損(VSD)とは
心室中隔に先天的に欠損がある状態のこと。
欠損孔を通して主に左室から右室への短絡があり、肺血流量が増え、心臓と肺への負担が増えます。
心室中隔に先天的に欠損がある状態のこと。
欠損孔を通して主に左室から右室への短絡があり、肺血流量が増え、心臓と肺への負担が増えます。


腹部超音波検査(腹部エコー)
腹部超音波検査では、腹部の臓器以外にも血管、体表臓器、関節、経頭蓋、脊髄などの様々な検査を行っています。
当院では先天性疾患を始めとする、様々な疾患に対応しています。お子様に安心して検査を受けてもらい、迅速な治療が行えるように、日々検査を行っています。
当院では先天性疾患を始めとする、様々な疾患に対応しています。お子様に安心して検査を受けてもらい、迅速な治療が行えるように、日々検査を行っています。
腹部超音波検査
主に肝臓、胆嚢、腎臓、膵臓、脾臓、膀胱、子宮、卵巣、腸管など腹部臓器の病変の有無や性状を観察しています。
注意点
注意点
- 肝臓、胆嚢、膵臓の検査を行う際は、胃の内容物により超音波が通りにくくなってしまうため、検査6時間前から食事を摂らないようにお願いする場合があります。
- 子宮や卵巣を検査する際は、尿をためた状態での方が超音波を通しやすいため、排尿を我慢した状態で、検査を受けて頂けるようにお願いしています。
先天性胆道閉鎖症とは
一度形成された肝外胆管が何らかの炎症で閉塞する状態のことです。
新生児期あるいは乳児期早期に胆汁うっ滞・閉塞性黄疸症状で発症します。
一度形成された肝外胆管が何らかの炎症で閉塞する状態のことです。
新生児期あるいは乳児期早期に胆汁うっ滞・閉塞性黄疸症状で発症します。

肥厚性幽門狭窄症とは
胃幽門部輪状筋の肥厚により幽門管が狭小化し、胃内容の通過障害をきたす状態のことです。
生後1ヵ月頃から、非胆汁性の噴水状嘔吐を繰り返します。
胃幽門部輪状筋の肥厚により幽門管が狭小化し、胃内容の通過障害をきたす状態のことです。
生後1ヵ月頃から、非胆汁性の噴水状嘔吐を繰り返します。

腸重積症とは
腸管の一部が肛門側の腸管内に嵌入することで発生します。
通過障害、血行障害を伴い、複雑性イレウスを引き起こすことがあります。
腸管の一部が肛門側の腸管内に嵌入することで発生します。
通過障害、血行障害を伴い、複雑性イレウスを引き起こすことがあります。

水腎症とは
腎盂、腎杯が拡張している状態を示します。
尿路障害により腎盂・腎杯に尿がうっ滞することで生じます。
腎盂、腎杯が拡張している状態を示します。
尿路障害により腎盂・腎杯に尿がうっ滞することで生じます。

血管超音波検査
下肢静脈・動脈、頚動脈、腎動脈の精査を行っています。
下肢静脈超音波検査
下肢深部静脈血栓症の検査を行っています。
注意点
注意点
- 観察部位は両足の鼠径部から足首付近まで検査します。場合によっては、下半身はズボンなどを脱いで検査させていただくことがあります。
腎動脈超音波検査
腎動脈の狭窄の有無を観察します。
注意点
注意点
- 検査時間は40分前後かかります。
- 検査時には、息を吸ったり、吐いたりして息止めをして頂きます。
- 良好な検査を行うため、検査6時間前から食事を取らないようにお願いしています。
体表臓器超音波検査
乳腺、甲状腺・頭頚部、関節、体表の病変の有無、性状を観察しています。
乳腺超音波検査
乳腺の正常組織の発達程度や腫瘤性病変の有無、腋窩の病変の有無を観察します。
注意点
注意点
- 乳腺全体を検査するので、上半身のお洋服は脱いで検査させて頂きます。
精巣超音波
精巣の腫瘤性病変の有無、停留精巣の検索・形態評価を行っています。
注意点
注意点
- 検査時は、下半身のお洋服は脱いで検査させて頂きます。
停留精巣とは
発生過程において精巣が下降の途中で停留し、陰嚢まで到達しない先天性異常です。
陰嚢内に精巣が触れないことで検査します。
発生過程において精巣が下降の途中で停留し、陰嚢まで到達しない先天性異常です。
陰嚢内に精巣が触れないことで検査します。

甲状腺・頭頚部超音波検査
甲状腺、耳下腺、顎下腺の病変の有無や頚部リンパ節腫大の有無や性状などを観察します。
注意点
注意点
- 頚部全体を検査するため、襟元を広く開けさせて頂きますが、場合によってお洋服を脱いで頂くこともあります。
- 検査時は、首の後ろにタオルを入れ、伸ばした状態で検査します。
関節超音波検査
主に血友病の関節に対して、液体貯留の有無、滑膜肥厚の有無、骨・軟骨損傷の有無について観察しています。
注意点
注意点
- 肘、膝、足首の検査を行うので、お洋服を捲ったり、脱いで検査させて頂きます。
- 検査時間は1時間程度かかります。
体表超音波検査
体表の皮下病変の有無や性状、鼡径ヘルニアの有無の観察をします。
鼡径ヘルニアとは
ヘルニアとは、先天的・後天的な原因で生じた組織の間隙から、臓器や組織が脱出している状態です。
鼠径靱帯頭側で鼠径部に脱出する外ヘルニアのことを鼡径ヘルニアといいます。
ヘルニアとは、先天的・後天的な原因で生じた組織の間隙から、臓器や組織が脱出している状態です。
鼠径靱帯頭側で鼠径部に脱出する外ヘルニアのことを鼡径ヘルニアといいます。

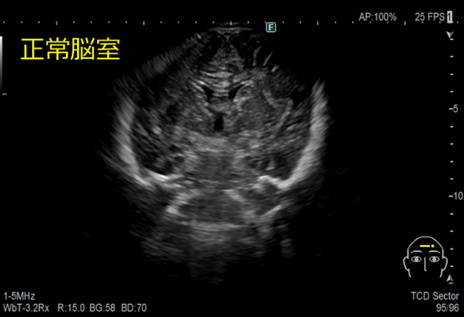
経頭蓋超音波検査
頭蓋骨早期癒合症の有無、頭蓋内の病変の有無や性状などについて観察しています。
注意点
注意点
- 大泉門が開大している乳児に対して行います。大泉門が閉鎖する乳児以降では観察が困難となります。
- 検査時は、頭が動いてしまうと検査ができないため、保護者の方に頭部の保持をお願いしています。
水頭症とは
髄液が頭蓋内腔に過剰に貯留した状態のことです。
脳室拡大、頭蓋内圧亢進、脳実質の圧迫などが見られます。
髄液が頭蓋内腔に過剰に貯留した状態のことです。
脳室拡大、頭蓋内圧亢進、脳実質の圧迫などが見られます。



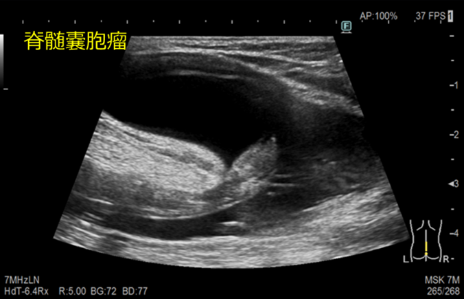
脊髄超音波検査
背中から超音波をあてて、脊髄病変の有無や性状の観察をします。
注意点
注意点
- 年齢が進んでくると観察しづらくなります。
- 検査時は、横を向いて背中を丸めた体勢を取って頂きます。
保護者の方に体勢保持の御協力をお願いしています。
年齢によっては、膝を抱えてうつ伏せの体勢でも行います。 - 初回の検査では、お洋服はおむつも含めて全て脱いで検査させて頂きます。
脊髄嚢胞瘤とは
髄液腔(拡大した脊髄中心管)が脊椎管外へ脱出する奇形のことです。
髄液腔(拡大した脊髄中心管)が脊椎管外へ脱出する奇形のことです。
脂肪脊髄髄膜瘤とは
神経管閉鎖時に脊髄の背尾側に迷入発生する過誤腫性の奇形のことです。潜在性二分脊椎の原因の中で最も多い疾患です。
神経管閉鎖時に脊髄の背尾側に迷入発生する過誤腫性の奇形のことです。潜在性二分脊椎の原因の中で最も多い疾患です。




