当院での心臓CT
当院では320列冠動脈CTを使用して、検査を行っています。
心臓CTの特長として、陰性的中率が高い、という特徴があります。つまり、検査で異常がないという結果がでれば、その結果はほぼ正しい、ということになります。320列CTの特長として、1回転で心臓全体が撮影できるので、不整脈に強く、鮮明な画像が撮影できる、という特徴があります。
2016年から2018年の年間件数は1151件、1255件、1272件です。現在では、陰性的中率が高い特長を生かして、狭心症かどうか調べるための最初の検査として利用されることが多いです。このほか、ステント内の狭窄の有無、冠動脈バイパス手術後の開存の有無、などにも用いられます。
心臓CTの特長として、陰性的中率が高い、という特徴があります。つまり、検査で異常がないという結果がでれば、その結果はほぼ正しい、ということになります。320列CTの特長として、1回転で心臓全体が撮影できるので、不整脈に強く、鮮明な画像が撮影できる、という特徴があります。
2016年から2018年の年間件数は1151件、1255件、1272件です。現在では、陰性的中率が高い特長を生かして、狭心症かどうか調べるための最初の検査として利用されることが多いです。このほか、ステント内の狭窄の有無、冠動脈バイパス手術後の開存の有無、などにも用いられます。

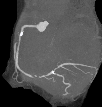
胸痛で来院された患者さん。右冠動脈に高度狭窄が疑われる

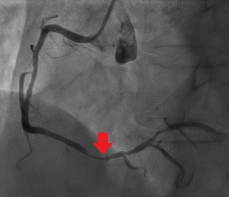
その後撮影した冠動脈造影。CTと同様、右冠動脈に高度狭窄を認める(矢印)。

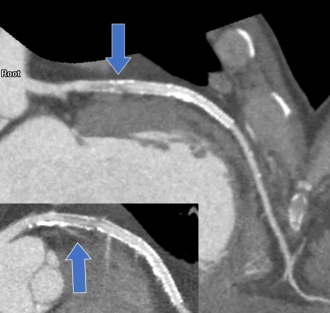
冠動脈バイパス術後。グラフとは3本とも開存している(矢印)。

ステント内再狭窄の症例(矢印)

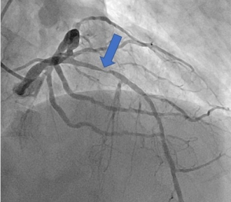
その後施行された冠動脈造影。ステント内再狭窄を認める(矢印)。