心臓カテーテル検査、カテーテルインターベンション

当院の心臓カテーテル検査の特長
- できるだけ低侵襲をこころがけています。検査後の安静が短くなるよう、可能な限り橈骨動脈(手首)からの穿刺で行っています。
- エビデンス(大規模臨床試験の結果)に基づいた診療を心がけています。例えば、後述する冠動脈形成術の適応を決めるにあたっては、積極的にFFRを施行しています。
※FFR=fractional flow reserve


FFRワイヤー(左)とIVUS(血管内超音波)(右)(© 2019 Boston Scientific Corporation. All rights reserved.)
PCI(カテーテルインターベンション)について
当院のPCIの特長
- IVUS(血管内超音波)や、OCT(光干渉断層撮影)を用いて、画像診断に基づいた精度の高い治療をこころがけています。
- ロータブレーター、ELCA(エキシマレーザー冠動脈形成術)、DCA(方向性冠動脈粥腫切除術)などを使い分け、病変の性状にあった治療をこころがけています。
- 最新のエビデンスに基づいて、冠動脈バイパス術を行ったときとの予後を綿密に比較し、ハートチームで最適な治療を決定します。

バルーン:細くなった血管を造影剤で満たした風船で拡張します。
(© 2019 Medtronic All rights reserved.)

ステント:金属製のコイルもしくは網目状のものを血管の内側から支えとして冠動脈に留置します。
(© 2019 Medtronic All rights reserved.)

ロータブレーター:先端にダイヤモンドの粉が付いており、毎分14-23万回転しながら進むことにより硬いプラーク(粥腫)を切除します。
(© 2019 Boston Scientific Corporation. All rights reserved.)

DCA:中央の窪んだ所にカッターが内蔵されており、反対側のバルーンを拡張することにより、プラーク(粥腫)が入り込み、カッターによりプラークが切除されます。
(© 2019 Nipro Corporation. All rights reserved.)

ELCA(エキシマレーザー冠動脈形成術)このレーザー光を動脈硬化の起こった冠動脈内の病変組織に照射することによって、閉塞した血管を開通させます。
(© Koninklijke Philips N.V., 2004 - 2019. All rights reserved.)
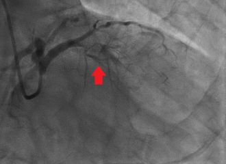
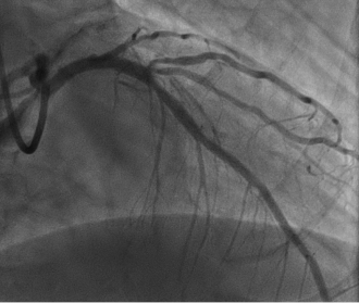
治療の一例

急性心筋梗塞の患者さん。左前下行枝の閉塞を認める(矢印)

左前下行枝の閉塞部にステントを留置することにより、再灌流が得られた。
インペラ(IMPELLAについて)

(© 2019 ABIOMED Japan K.K. All rights reserved.)