当院の心臓MRI
当院では、1.5テスラもしくは3.0テスラのMRI装置を用いて心臓MRIの検査を行っています。
2016件から2018年の件数は81件、95件、81件です。主として、心不全の患者さんの心筋障害を調べる目的で検査を行っています。
2016件から2018年の件数は81件、95件、81件です。主として、心不全の患者さんの心筋障害を調べる目的で検査を行っています。

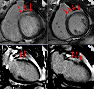
心サルコイドーシスの症例。心基部の中隔に遅延造影を認める(矢印)

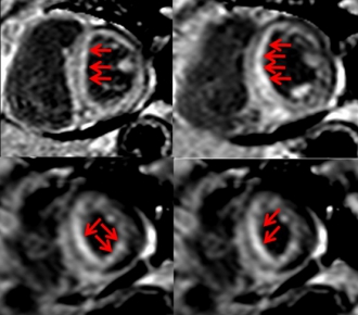
心アミロイドーシスの症例。心内膜側全体に遅延造影を認める(矢印)。