グローバルナビゲーションへ

本文へ

フッターへ


診療科

【心臓血管外科】治療内容



ダヴィンチシステムによるロボット心臓手術

当院は2019年4月より静岡県で初めてのロボット心臓手術実施施設となり、2020年からは保険診療可能な施設となりました。ロボット心臓手術が施行可能な施設は全国でまだ25施設(2021年1月現在)であり、当院でロボット心臓手術できることは静岡県民にとって朗報であると思われます。
ダヴィンチの特徴として、繊細な3Dカメラを搭載しており、心臓内で360°も回る関節を有する動きができることで、狭い空間で思い通りの運針ができることが挙げられます。8mmのポートを2-3か所開けることによりメインの創部を小さくし、術後の疼痛軽減にも寄与でき、早期の社会復帰が可能です。当院では、ダヴィンチシステム支援下で、僧帽弁形成術をメインに行っております。

当院でのロボット支援僧帽弁形成術(n=98)の詳細(2020年7月から2025年12月)

年齢 61±12歳
手術時間 299±48分
大動脈遮断時間 118±27分
術後mildを超える残存MR 1例(1.0%)
正中切開Conversion 0%
2nd Clamp 4例(4.1%)
出血再開胸 0%
病院死亡 0%
術後在院日数 7.1±5.2日

da Vinciシステム

da Vinciシステム

当院のロボット心臓手術実施認定書

当院のロボット心臓手術実施認定書

ロボット支援下僧帽弁形成術後の創部写真

ロボット支援下僧帽弁形成術後の創部写真

da Vinciコンソールの操作風景

ロボット支援下で行う僧帽弁形成術のカメラ画像

ロボット支援下で行う僧帽弁形成術のカメラ画像

弁膜症手術

心臓弁膜症の主な対象は大動脈弁と僧帽弁で、近年の高齢化社会に伴って、特に大動脈弁狭窄症の患者様が増加しております。心臓の弁は心臓内部に存在しているため、手術には人工心肺を用いて、心臓を止める必要があります。しかし、近年、経カテーテル的大動脈弁置換術(TAVI)という新しい方法で、胸を切らずにカテーテル的に治療する方法が出てきました。当院でも、高齢者やリスクの高い患者様は、この方法で治療を行っております(のちに詳しく紹介しています)。通常の外科的大動脈弁置換術でも、手術中の脳梗塞合併などを生じないよう、術前の綿密な精査、術中の工夫で対処しており、安全に大動脈弁置換術を行えるようになってきました。最近ではSutureless弁を用いて弁輪への糸掛けが不要なAVRも可能となり、ますます低侵襲化が進んでおります。

僧帽弁に関して、最も多い疾患として僧帽弁閉鎖不全症が挙げられます。この疾患に対しては弁形成術(修復術)を第一選択としており、抗凝固療法が必要な人工弁置換術を回避しております。症例によっては、通常の胸骨正中切開を行わず、側胸部の皮膚切開が約6cmのみの低侵襲心臓手術(MICS)で施行しており、2020年からは県内初となるロボット(ダヴィンチ)による僧帽弁形成術を行い、さらなる低侵襲化を目指しております。
僧帽弁に対する外科的手術困難症例では2018年からは経皮的僧帽弁クリップ術(MitraClip)というカテーテル的に僧帽弁逆流を制御する方法も行っております。

当院の弁膜症手術数の年次推移

弁膜症手術件数の遷移の棒グラフ。表記は次の通り。2012年は35件。2013年は41件。2014年は88件。2015年は116件。2016年は105件。2017年は168件。2018年は196件。2019年は201件。2020年は190件。2021年は209件。2022年は194件。2023年は191件。2024年は208件。2025年は191件。

2012年 35件
2013年 41件
2014年 88件
2015年 116件
2016年 105件
2017年 168件
2018年 196件
2019年 201件
2020年 190件
2021年 209件
2022年 194件
2023年 191件
2024年 208件
2025年 191件

低侵襲心臓手術(MICS)

低侵襲心臓手術(MICS:ミックス)とは胸骨正中切開を行わない、小さな皮膚切開で行う心臓手術のことで、当院では肋間小開胸のMICSを積極的に行っています。胸骨を切らないため、出血が少なく、胸骨感染のリスクもありません。また、一般的に胸骨正中切開の手術後は、上半身を使う運動(テニスやゴルフなど)や肉体労働は、数か月間は控える必要がありますが、MICS手術ではそのような運動制限はありません。そのため、早期の社会復帰が可能になります。

当院では、症例の適応をしっかりと判断した上で、僧帽弁症例、大動脈弁症例、心房中隔欠損(ASD)症例、左房粘液腫(Myxoma)症例、心拍動下冠動脈バイパス(MICS-CABG)症例でMICSアプローチを行っております。最近は学童期児童のASDに対してもMICSでのASD閉鎖を行っており、早期に学校へ復帰できております。ただ、すべての患者さんで、MICSが可能なわけではありませんので、同手術を希望される方は、一度当科の外来で相談して下さい。当院で行っているMICS症例の術後写真を下に示します。

通常の正中切開

通常の正中切開

僧帽弁形成術後

僧帽弁形成術後

大動脈弁置換術後

大動脈弁置換術後

MICS-CABG術後

MICS-CABG術後

成人症例のASD閉鎖術後

成人症例のASD閉鎖術後

小学生のASD閉鎖術後

小学生のASD閉鎖術後

当院のMICS手術数の年次推移

MICS手術数の遷移の棒グラフ。表記は次の通り。2017年は13件。2018年は19件。2019年は29件。2020年は31件。2021年は28件。2022年は33件。2023年は49件。2024年は48件。2025年は49件。

2017年 13件
2018年 19件
2019年 29件
2020年 31件
2021年 28件
2022年 33件
2023年 49件
2024年 48件
2025年 49件

オフポンプ冠動脈バイパス術(OPCAB)

冠動脈の狭窄に対して外科的に新しい血管の通り道を作る手技を冠動脈バイパス術と言います。軽症の方は、カテーテルによるバルーン拡張やステント留置などで治療も可能ですが、冠動脈の病変が3枝以上にわたっている場合や左主幹部(LMT)に及んでいる場合はカテーテル治療より、冠動脈バイパス術の方が優れていると言われております。ステント治療は、病気のある部分を押し広げるため再狭窄などのリスクがありますが、冠動脈バイパス術では、健常な血管部分を探して最適なグラフトを吻合するため、一度の手術で何カ所もの病変を治療でき。再狭窄のリスクも極めて低くなっております。

冠動脈バイパス術は外科的な手技であるため、カテーテル治療よりも侵襲的でありますが、現在では、生命にかかわる手術リスクは1%以下と、極めて安全に行うことができ、長期の心筋梗塞予防や、バイパス血管開存が保つことができます。冠動脈バイパス術は心臓表面の血管に対する手術なので、人工心肺を使用せず、心臓を拍動させたまま吻合を行うオフポンプ冠動脈バイパス術(OPCAB)が可能です。当院では侵襲の大きい人工心肺を用いないOPCABを第一選択としており、当院での単独の冠動脈バイパス術の約9割はこの術式で行っております。

OPCABは心臓を拍動させたまま1-2mmの血管を吻合するので、極めて高い手術技能が要求されます。現在では、OPCABで冠動脈バイパスを行っている施設は多くなってきましたが、外科医の習熟度には優劣があり、OPCABの治療成績は執刀する外科医のレベルで大きく異なってきます。当院では、OPCABに精通している部長の恒吉が担当しており、バイパスの開存率は良好です。グラフト開存率を下の表に示しております。バイパスに用いる血管も長期的に開存率が良いとされている動脈グラフト(内胸動脈、橈骨動脈)を可能な限り多用し、静脈を用いる場合も、No-touch SVGという新しい手術方法で採取したグラフトを使用し長期的な開存が期待できるよう努めております。

当院の冠動脈バイパス術数の年次推移

冠動脈バイパス術総数の遷移の棒グラフ。表記は次の通り。2016年は18件。2017年は31件。2018年は64件。2019年は64件。2020年は69件。2021年は73件。2022年は76件。2023年は77件。2024年は75件。2025年は74件。

2016年 18件
2017年 31件
2018年 64件
2019年 64件
2020年 69件
2021年 73件
2022年 76件
2023年 77件
2024年 75件
2025年 74件

CABGのグラフト開存率の年次推移

( )内は閉塞数

2017年

CABG総数 42
左内胸動脈(LITA) 100%
38(0)
右内胸動脈(RITA) 100%
11(0)
橈骨動脈(RA) 100%
2(0)
大伏在静脈(SVG) 100%
57(0)
総グラフト開存率 100%
108(0)

2018年

CABG総数 64
左内胸動脈(LITA) 100%
49(0)
右内胸動脈(RITA) 100%
17(0)
橈骨動脈(RA) 100%
7(0)
大伏在静脈(SVG) 94.6%
74(4)
総グラフト開存率 97.3%
147(4)

2019年

CABG総数 64
左内胸動脈(LITA) 100%
56(0)
右内胸動脈(RITA) 100%
15(0)
橈骨動脈(RA) 100%
4(0)
大伏在静脈(SVG) 96.8%
62(2)
総グラフト開存率 98.5%
137(2)

2020年

CABG総数 69
左内胸動脈(LITA) 100%
63(0)
右内胸動脈(RITA) 100%
10(0)
橈骨動脈(RA) 100%
9(0)
大伏在静脈(SVG) 98.6%
70(1)
総グラフト開存率 99.3%
152(1)

2021年

CABG総数 73
左内胸動脈(LITA) 100%
61(0)
右内胸動脈(RITA) 100%
16(0)
橈骨動脈(RA) 100%
3(0)
大伏在静脈(SVG) 100%
70(0)
総グラフト開存率 100%
150(0)

2022年

CABG総数 77
左内胸動脈(LITA) 100%
65(0)
右内胸動脈(RITA) 100%
10(0)
橈骨動脈(RA) 100%
5(0)
大伏在静脈(SVG) 100%
64(0)
総グラフト開存率 100%
144(0)

2023年

CABG総数 77
左内胸動脈(LITA) 98.5%
66(1)
右内胸動脈(RITA) 100%
10(0)
橈骨動脈(RA) 100%
2(0)
大伏在静脈(SVG) 100%
68(0)
総グラフト開存率 99.3%
146(1)

2024年

CABG総数 75
左内胸動脈(LITA) 100%
65(0)
右内胸動脈(RITA) 100%
19(0)
橈骨動脈(RA) 100%
3(0)
大伏在静脈(SVG) 98.1%
54(1)
総グラフト開存率 99.3%
141(1)

2025年

CABG総数 74
左内胸動脈(LITA) 100%
59(0)
右内胸動脈(RITA) 100%
18(0)
橈骨動脈(RA) 100%
2(0)
大伏在静脈(SVG) 98.4%
62(1)
総グラフト開存率 99.3%
141(1)

重症心不全に対する左室補助人工心臓(LVAD)手術

当院は2017年5月より、静岡県内で初めて植込型補助人工心臓管理施設として認定されました。これにより、植込型補助人工心臓を装着して心臓移植を待機中の患者さんの管理が当院で可能となりました。LVAD治療には医師、看護師、臨床工学技士、ソーシャルワーカーなど様々な職種によるチーム医療が不可欠であり、将来的に植込型補助人工心臓実施施設となるべく準備しております。体外設置型の左室補助人工心臓は、当院にて24時間体制で装着可能です。

当院で管理可能な植込型補助人工心臓

当院で管理可能な植込型補助人工心臓

体外設置型の左室補助人工心臓

体外設置型の左室補助人工心臓

胸部大動脈手術

ステント治療の適応とならない開胸の胸部大動脈瘤は脳合併症を極力回避するよう、脳保護を最優先させた術式を選択しています。それによって高齢の方にも脳合併症の少ない手術ができるようになりました。手術時間も飛躍的に短時間となり、合併症の減少、早期回復につながっています。 最近では、末梢吻合部分が深くなってしまうリスクの高い症例では、オープンステントを用いて、より安全な手術を行えるように工夫しております。

当院の胸部大動脈手術数の年次推移

胸部大動脈手術数(TEVAR含む)の推移の棒グラフ。表記は次の通り。2012年は39件。2013年は48件。2014年は75件。2015年は81件。2016年は98件。2017年は80件。2018年は95件。2019年は78件。2020年は75件。2021年は89件。2022年は78件。2023年は110件。2024年は87件。2025年は104件。

2012年 39件
2013年 48件
2014年 75件
2015年 81件
2016年 98件
2017年 80件
2018年 95件
2019年 78件
2020年 75件
2021年 89件
2022年 78件
2023年 110件
2024年 87件
2025年 104件

胸部大動脈瘤ステントグラフト治療(TEVAR)

胸部大動脈瘤に対する外科治療は人工血管置換術が従来の手術方法でしたが、近年ステントグラフトの登場で、超高齢者やハイリスク症例に対しても治療が可能となっています。
ステントグラフト治療の最大のメリットは胸を開かない、人工心肺装置を使用せずに手術が可能といった低侵襲性にあります。胸部下行大動脈瘤に対しては今ではステントグラフトが第一選択になることが多く手術時間も1時間余りで済みます。ただし弓部大動脈や胸腹部大動脈瘤に対しては大動脈の枝の処理が必要となり、いわゆるハイブリッド手術を行います。

また、破裂性胸部大動脈瘤や急性大動脈解離に対してもステントグラフトが有効な場合もあるため、患者様の全身状態や大動脈瘤の形態や場所に応じてステントグラフトの適応を考慮いたします。ステントステントグラフト治療は比較的新しい技術であり、血管病に関連する10の医学会が合同して設立した「日本ステントグラフト実施基準管理委員会」により、決められた実施基準を満たす病院でしか施行することができません。当院は、胸部ステントグラフト実施施設として県内トップクラスのステント手術数を維持しております。

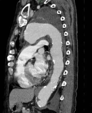
巨大な破裂性遠位弓部大動脈瘤(術前)

巨大な破裂性遠位弓部大動脈瘤(術前)

頸部分枝の再建をしてステントグラフトを上行大動脈から下行大動脈まで挿入した(ハイブリッド手術後)

頸部分枝の再建をしてステントグラフトを上行大動脈から下行大動脈まで挿入した(ハイブリッド手術後)

ステント・グラフト治療の原理

腹部大動脈瘤ステントグラフト治療(EVAR)

腹部大動脈瘤は、動脈硬化などが原因でお腹の大動脈が弱くなって膨らむ病気です。症状がない場合が多く、そのまま放置すれば風船と同じように破裂し、命に関わることもあります。お薬や血圧管理は重要ですが、一旦できた動脈瘤は手術するしか治療方法はありませんので、ある一定の大きさを越えた場合は手術することをおすすめしています。一般的に腹部大動脈瘤の最大径が45-50mmを超えると破裂のリスクが高くなると言われています。治療方法としては、開腹し人工血管に交換する手術が一般的ですが、最近ではステントグラフトを血管の中に挿入する治療が普及しています。

ステントグラフト治療は、鼠径部の小さな傷で治療できますので、従来法に比べ体への負担が少ないのが魅力的で、体力に不安のある高齢者の方や合併症のある方も比較的安全に行えます。当院は、TEVAR同様、腹部ステントグラフトにおいても実施施設として県内トップクラスのステント手術数を維持しております。

手術前(7cm腹部大動脈瘤)

手術前(7cm腹部大動脈瘤)

手術後(ステントグラフト治療)

手術後(ステントグラフト治療)

当院の腹部末梢血管手術数の年次推移

腹部末梢血管手術数(EVAR含む)の推移の棒グラフ。表記は次の通り。2012年は48件。2013年は108件。2014年は128件。2015年は132件。2016年は100件。2017年は120件。2018年は124件。2019年は120件。2020年は148件。2021年は151件。2022年は193件。2023年は175件。2024年は189件。2025年は186件。

2012年 48件
2013年 108件
2014年 128件
2015年 132件
2016年 100件
2017年 120件
2018年 124件
2019年 120件
2020年 148件
2021年 151件
2022年 193件
2023年 175件
2024年 189件
2025年 104件
  1. ホーム
  2.  >  診療科
  3.  >  心臓血管外科
  4.  >  【心臓血管外科】治療内容