【歯科口腔外科】専門治療
親知らず(おやしらず)について
親知らずは生え方や、管理状態によっては抜歯が必要となることがあります。
親知らずが斜めや横向きに歯茎の中に埋伏している場合は清掃状態が悪くなり、隣接した歯に虫歯や歯周病を生じるリスクや、前の歯を押して歯並びを悪くすることがあります。時に重篤な症状(顔の腫れや気道の閉塞)を引き起こすことがあります。
親知らずがトラブルの原因となる場合や、今後その誘因になると判断される場合には早めの抜歯が推奨されています。
親知らずが斜めや横向きに歯茎の中に埋伏している場合は清掃状態が悪くなり、隣接した歯に虫歯や歯周病を生じるリスクや、前の歯を押して歯並びを悪くすることがあります。時に重篤な症状(顔の腫れや気道の閉塞)を引き起こすことがあります。
親知らずがトラブルの原因となる場合や、今後その誘因になると判断される場合には早めの抜歯が推奨されています。
診断について
初診時に口腔内の診査やレントゲンで顎骨や歯の状態を検査します。必要に応じてCT検査(X線を用いた断層画像)を行い、顎骨の状態や歯の形および方向や位置、周囲の神経や血管との位置関係等を三次元的に評価した上で抜歯計画を立てています。

パノラマレントゲン画像

CT画像
治療について
歯の状態から予想される手術時の負担、患者さんのご希望を考慮して、抜歯の際の麻酔方法を決定します。
1)外来手術による抜歯
通院で局所麻酔で行う方法です。
午後に予約制で実施しています。
複数本(左右)を抜く場合は、数回に分けて行います。
※親知らず以外の歯も含め、初診当日の抜歯は行っていません。
午後に予約制で実施しています。
複数本(左右)を抜く場合は、数回に分けて行います。
※親知らず以外の歯も含め、初診当日の抜歯は行っていません。
2)入院手術による一括抜歯
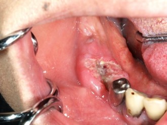
口腔癌(こうくうがん)について
治らない潰瘍や口内炎には注意が必要です、放置せずご相談ください
口の中にも癌ができます。その代表として舌にできる舌癌や、歯肉にできる歯肉癌などがあります。
口内炎や潰瘍が2週間以上治らない場合や出血やしこりを伴っている場合等は早めの検査が推奨されます。
口内炎や潰瘍が2週間以上治らない場合や出血やしこりを伴っている場合等は早めの検査が推奨されます。
原因
口腔癌の原因はまだ解明されていない点が多くありますが、飲酒と喫煙、口腔内の衛生不良や、合わない入れ歯や歯の鋭縁による刺激などが関係していると言われています。
症状
癌の発生する部位や病期(癌の進行度)によって様々です。癌表面の特徴としては、ぶつぶつしていたり、赤や白色に変色している、かたい腫瘤(こぶのような盛り上がり)や潰瘍(えぐれたような形態)を形成していることがあり、時に簡単に出血したり痛みが出ることもあります。病気が進むにつれて噛みにくさや飲み込みにくさ、発音のしにくさが出てきたり、頸部(くび)のリンパ節への転移、遠隔転移(肺、骨、肝臓等)を生じるようになります。
口腔癌の原因はまだ解明されていない点が多くありますが、飲酒と喫煙、口腔内の衛生不良や、合わない入れ歯や歯の鋭縁による刺激などが関係していると言われています。
症状
癌の発生する部位や病期(癌の進行度)によって様々です。癌表面の特徴としては、ぶつぶつしていたり、赤や白色に変色している、かたい腫瘤(こぶのような盛り上がり)や潰瘍(えぐれたような形態)を形成していることがあり、時に簡単に出血したり痛みが出ることもあります。病気が進むにつれて噛みにくさや飲み込みにくさ、発音のしにくさが出てきたり、頸部(くび)のリンパ節への転移、遠隔転移(肺、骨、肝臓等)を生じるようになります。
診断について
口腔癌が疑われる場合は、病気の経過や表面の性状(色や硬さ)、大きさ等を精査するとともに、病変の一部を採取し、顕微鏡による検査で癌細胞が見られるか、否かを検査します。
更にX線写真やCT検査(X線を用いた断層画像)、エコー検査(超音波検査)、MRI検査(磁気を用いた断層画像)、PET-CT検査(癌細胞に取り込まれたFDGと呼ばれる物質を映し出す断層画像)を総合的に評価し、病気の広がりや転移の有無を診断しています。
更にX線写真やCT検査(X線を用いた断層画像)、エコー検査(超音波検査)、MRI検査(磁気を用いた断層画像)、PET-CT検査(癌細胞に取り込まれたFDGと呼ばれる物質を映し出す断層画像)を総合的に評価し、病気の広がりや転移の有無を診断しています。
治療について
治療を行う際には患者様やご家族に十分な説明を行い、標準的治療(現状で最も効果が確認されている治療法)を主に治療計画を提示しています。
一般的に各領域の癌の治療には手術、抗癌剤、放射線を軸に治療が行われています。口腔癌の初回治療は手術的切除が第一選択と言われており、進行した症例で切除範囲が大きくなる場合には、形成外科医と協力し再建手術を行うこともあります。また、広範囲の顎骨の欠損を伴う場合には早期に顎義歯(アゴつきの入れ歯)を作製し、形態と機能の回復を図っています。
口腔癌は頸部(くび)のリンパ節に転移することがあります。その際は頸部リンパ節転移に対する手術(頸部リンパ節郭清)を行いますが、術後に頸部や肩にこわばりを生じることも多く、治療の一貫として整形外科やリハビリ科の協力のもと、術後早期から頸部や肩のリハビリ治療を行い、術後の症状の緩和に努めています。
一般的に各領域の癌の治療には手術、抗癌剤、放射線を軸に治療が行われています。口腔癌の初回治療は手術的切除が第一選択と言われており、進行した症例で切除範囲が大きくなる場合には、形成外科医と協力し再建手術を行うこともあります。また、広範囲の顎骨の欠損を伴う場合には早期に顎義歯(アゴつきの入れ歯)を作製し、形態と機能の回復を図っています。
口腔癌は頸部(くび)のリンパ節に転移することがあります。その際は頸部リンパ節転移に対する手術(頸部リンパ節郭清)を行いますが、術後に頸部や肩にこわばりを生じることも多く、治療の一貫として整形外科やリハビリ科の協力のもと、術後早期から頸部や肩のリハビリ治療を行い、術後の症状の緩和に努めています。

舌癌

舌癌

頬粘膜癌

上顎歯肉癌

下顎歯肉癌
顎変形症(がくへんけいしょう)について
顎(あご)の突出や変形、かみ合わせが気になる方へ
顎変形症とは
顎変形症は上顎や下顎の骨の過成長や劣成長、左右非対称など、骨格的な原因によりかみ合わせのバランスが偏った状態のことをいいます。
うまく噛めない、発音がしにくい、口が閉鎖できないなどの症状の他に、容貌が悩みの一つとなることも少なくありません。
顎変形症の多くは、歯列矯正治療と顎矯正手術(別名:骨切り手術)を組み合わせることで治療することが可能になっており、矯正歯科と口腔外科が連携することにより適切な診断と治療を受けることができます。
うまく噛めない、発音がしにくい、口が閉鎖できないなどの症状の他に、容貌が悩みの一つとなることも少なくありません。
顎変形症の多くは、歯列矯正治療と顎矯正手術(別名:骨切り手術)を組み合わせることで治療することが可能になっており、矯正歯科と口腔外科が連携することにより適切な診断と治療を受けることができます。
顔面側貌

手術前側面

手術後側面
口腔内側貌

手術前口腔内側面

手術後口腔内側面
診断・治療について
1)初診時
矯正歯科での診断にて、歯列矯正のみで対応できず、骨格に対する手術が必要と判断された場合に、当科へ紹介受診していただきます。矯正歯科が決まっていない患者様には対応可能な矯正歯科をご紹介することも可能です。初診時には治療の流れや期間、手術についてのお話をします。
2)検査(矯正歯科・口腔外科)
【矯正歯科】
顔面や顎のレントゲンや、上下の型取りを行い、分析を行います。これにより上下の顎の位置関係が日本人の正常範囲内か、否かを検討します。
【口腔外科】
顎のレントゲンやCT、全身的な検査(血液検査、心電図、胸部レントゲン、尿検査)を行い、手術可能なお体かどうかの確認をします。
顔面や顎のレントゲンや、上下の型取りを行い、分析を行います。これにより上下の顎の位置関係が日本人の正常範囲内か、否かを検討します。
【口腔外科】
顎のレントゲンやCT、全身的な検査(血液検査、心電図、胸部レントゲン、尿検査)を行い、手術可能なお体かどうかの確認をします。
3)術前矯正(矯正歯科)
上下の歯に矯正装置を装着後に弾力のある針金やゴムを用いて歯を移動し、手術後に予定した噛み合わせとなるように準備します。術前矯正の期間は、おおよそ1年から2年程度です。
4)骨切り手術(口腔外科)
下顎前突症の手術で多く用いられる下顎枝矢状分割術(かがくししじょうぶんかつじゅつ)の場合、入院期間は2週間程度です。
手術は全身麻酔下で行い、歯を含む下顎骨の一部を切って移動し、噛み合わせを整えます。移動後の骨は体に害のない材料でできたネジやプレートで固定します。
手術後は上下の噛み合わせを固定した状態で過ごしていただき、顎の安静を保ちます。手術はすべての操作を口腔内で行うことから、顔の皮膚に傷痕が残ることはありません。
手術は全身麻酔下で行い、歯を含む下顎骨の一部を切って移動し、噛み合わせを整えます。移動後の骨は体に害のない材料でできたネジやプレートで固定します。
手術後は上下の噛み合わせを固定した状態で過ごしていただき、顎の安静を保ちます。手術はすべての操作を口腔内で行うことから、顔の皮膚に傷痕が残ることはありません。
5)術後矯正(矯正歯科)
手術後に上下の噛み合わせの調整と安定化を行います。術後矯正の期間は、おおよそ1年から2年程度です。
6)保定(矯正歯科)
術後矯正の後、針金とプラスチックでできた保定装置を装着する必要があります。
治療費について
自立支援医療の指定医療機関でかつ顎口腔機能診断の施設基準の届け出をしている医療機関においては、口腔外科にて外科的矯正を行うことを前提とした「顎変形症」のための術前および術後の歯科矯正に関しては、保険での治療が認められています。同様に上述の医療機関にて術前矯正を行った場合の顎矯正手術(口腔に関する医療)についての自立支援医療の指定医療機関で保険を用いて行うことができます。
下顎枝矢状分割術
骨格性下顎前突症や小下顎症に対して、下顎枝矢状分割術が選択されます。下顎骨内には下歯槽神経(下顎の歯や歯肉、下唇、オトガイの知覚を司る)が走行しており、下顎枝矢状分割術は、比較的下歯槽神経を保護しながら手術ができます(患者様の解剖形態によります)。また、骨切断面の接触面積が大きいことから、骨癒合が得られやすいといったメリットがあります。また、移動量や移動方向の許容範囲が大きく、下顎左右非対称にも対応が可能です。
LeFort (ルフォー)Ⅰ型骨切り術
歯科インプラント治療(自由診療)
歯科インプラント治療は、生体に馴染みやすいチタン製の人工歯根(インプラント体)を顎の骨に埋入し、それを土台としてセラミックなどの人工の歯(上部構造)を取り付けて、失った歯を補う治療です。埋入したチタンと骨は、オッセオインテグレーションという結合を起こすことで安定するため、自分の歯に近い機能を回復することができます。
従来、欠損した歯を補うためには、ブリッジや入れ歯などが選択されておりましたが、歯科インプラントはブリッジのように隣の歯を削ることなく、入れ歯のように取り外しは必要なく、残った歯への負担が少ない審美的にも優れた治療法です。当科では、紹介元の歯科医院と連携して治療計画を立てます。
従来、欠損した歯を補うためには、ブリッジや入れ歯などが選択されておりましたが、歯科インプラントはブリッジのように隣の歯を削ることなく、入れ歯のように取り外しは必要なく、残った歯への負担が少ない審美的にも優れた治療法です。当科では、紹介元の歯科医院と連携して治療計画を立てます。

インプラントの構造

3Dコンピューターシュミレーションシステム
3Dコンピューターシュミレーションシステムを用いて治療計画を行い、サージカルガイドを使用することで、より確実な位置への埋入、合併症の回避に努めています。


